Gray White Matter Differentiation

Difference Between White Matter and Grey Matter Definition

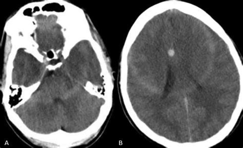
Gray White Matter Differentiation. Created for people with ongoing healthcare needs but benefits everyone. Has been described in at least one study as a component of the reversal sign and in which there is diffuse edema and hypoattenuation of the cerebral hemispheres with sparing of the cerebellum and brainstem, resulting in.

Difference Between White Matter and Grey Matter Definition
Difference Between White Matter and Grey Matter Definition

Web the white matter and the grey matter are special areas in the brain and the spinal cord. The term is most often used when trying to differentiate cytotoxic from vasogenic edema. Web the result is that the cerebral white matter is of higher attenuation than the cortical grey matter; This sign can be seen in diffuse hypoxic injury due to cerebral edema. Grey matter in the brain and spinal cord. In the brain, grey matter is present on the outer side and many grey matter nuclei are embedded in the white matter in the deeper area of the brain. The grey matter is made up of the cell bodies of neurons, some unmyelinated axons, and glial cells. The term is most often used when trying to differentiate cytotoxic from vasogenic edema. Web a lot of confusion revolves around the distinction between gray and white matter in the brain, but the difference is actually a pretty simple one. Created for people with ongoing healthcare needs but benefits everyone.

This sign can be seen in diffuse hypoxic injury due to cerebral edema. Web the white matter and the grey matter are special areas in the brain and the spinal cord. Hiep le answered nephrology and dialysis 43 years experience that means normal. Location of gray matter and white matter within the. Web a lot of confusion revolves around the distinction between gray and white matter in the brain, but the difference is actually a pretty simple one. 2 doctor answers • 2 doctors weighed in share dr. A pseudosubarachnoid hemorrhage sign is also present which demonstrates increased density within the basal cisterns. Grey matter in the brain and spinal cord. The term is most often used when trying to differentiate cytotoxic from vasogenic edema. The grey matter is made up of the cell bodies of neurons, some unmyelinated axons, and glial cells. Created for people with ongoing healthcare needs but benefits everyone.